Our specialist is well established internationally, having been invited to give lectures in many parts of the world and appointed to several working groups responsible for developing international clinical practice guidelines. With a strong scientific and clinical background, we provide evidence-based treatment based on the results of latest clinical trials, focusing on the patient’s quality of life and clinical outcomes.”
Do note:
Arrange to meet our kidney specialist face-to-face, so that they can take a detailed history and perform a physical examination, and assess the clinical symptoms or abnormal investigation results you may have. Our specialist will address all your concerns and provide you will a clear and detailed explanation about your condition, and propose a diagnostic evaluation and treatment plan, based on the latest clinical evidence and information, as an overall solution to your health issues.
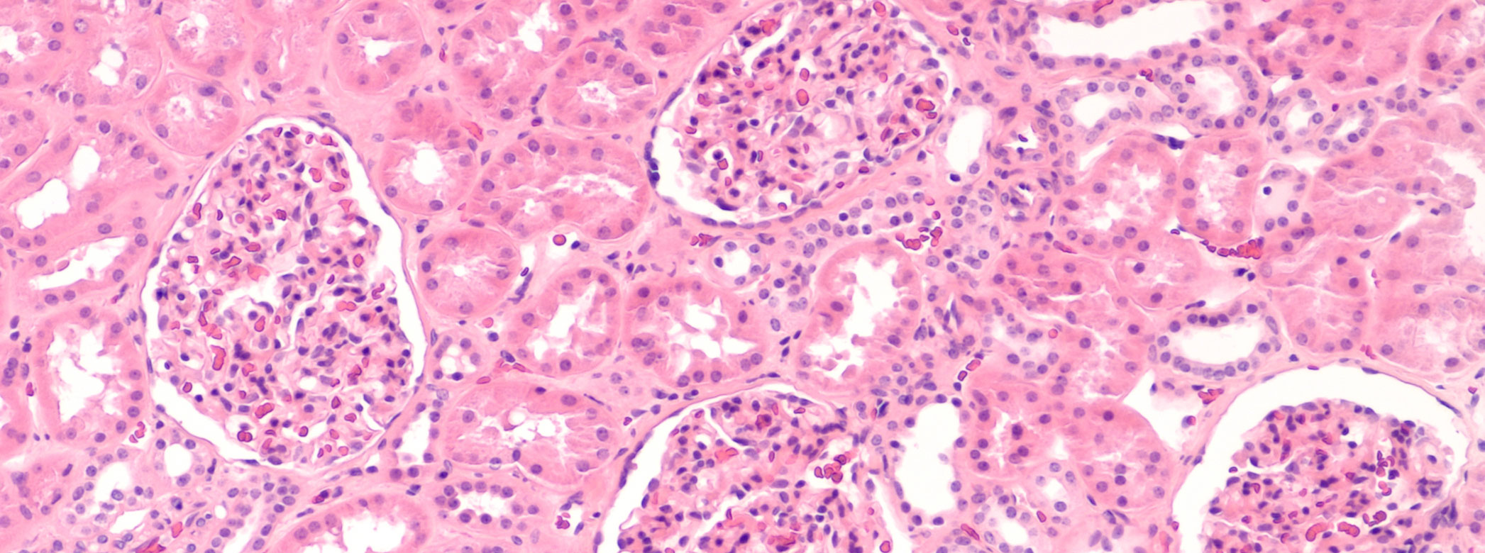
Unfortunately, most kidney diseases do not present with symptoms until there is leakage of massive amount of protein in the urine or when the kidney function is significantly damaged. Most often, kidney diseases are uncovered when abnormal blood or urine test results are obtained during health screening.
The following provide you with some basic information on common kidney conditions. They are not meant to substitute a consult with your kidney specialist, but to provide some background understanding of the respective kidney disease.
Arrange to meet our kidney specialist face-to-face, so that they can take a detailed history and perform a physical examination, and assess the clinical symptoms or abnormal investigation results you may have. Our specialist will address all your concerns and provide you will a clear and detailed explanation about your condition, and propose a diagnostic evaluation and treatment plan, based on the latest clinical evidence and information, as an overall solution to your health issues.
Unfortunately, most kidney diseases do not present with symptoms until there is leakage of massive amount of protein in the urine or when the kidney function is significantly damaged. Most often, kidney diseases are uncovered when abnormal blood or urine test results are obtained during health screening.
The following provide you with some basic information on common kidney conditions. They are not meant to substitute a consult with your kidney specialist, but to provide some background understanding of the respective kidney disease.
Our specialist is a renowned expert in the management of diabetic kidney disease, the most common cause of kidney failure in Singapore, and have experience in successfully implementing chronic kidney disease management program. We have a structured program in screening for chronic kidney disease and implementing interventions to slow down the progression of kidney damage. You will be informed of the treatment goals, management plans and progress of your condition, with your care coordinated across other specialists and healthcare professionals where necessary.
Dialysis is the most immediate way of maintaining the excretory function of the kidneys, to ensure the sustenance and improve the quality of life for people with advanced kidney failure. Time is needed to prepare someone for dialysis, and studies have shown that patients who start dialysis in a prepared manner rather than on an emergency basis, have better outcomes. Do talk to your kidney specialist to decide on the most appropriate time for you to start preparing for dialysis, when is the best time to begin actual dialysis treatment and what dialysis treatment is best suited for your medical condition and lifestyle. We have a comprehensive education and counselling program for people with kidney failure and needing to start dialysis, and will coordinate your care to ensure that dialysis, when required, is started in a timely manner with minimal disruption to your lifestyle.
Kidney transplantation remains the best treatment for people with advanced kidney failure. However, not all patients are suitable for a transplant. Do discuss with your kidney specialist on the option of kidney transplantation, and how best to proceed with a kidney transplantation should you be considered suitable for this treatment.
MBBS, MRCP(UK), FAMS, FRCP(Edin),
FASN, MClinEpid
Senior Consultant Nephrologist and Director
Dr Adrian Liew is a Senior Consultant and kidney specialist with a vast experience in the management of patients with general medical and kidney conditions. He holds several leadership positions in the international kidney medicine community and has been invited to develop clinical practice guidelines for the care of patients with diabetic kidney disease, glomerulonephritis and who are on dialysis.
Read More
